
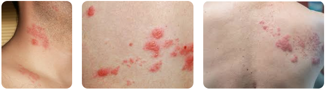
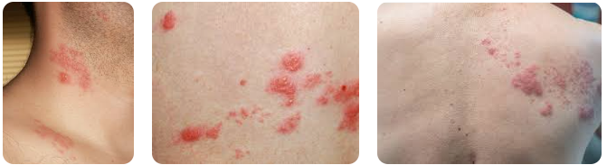
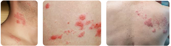
대상포진은 고통이 매우 심한 질환으로, 65세 이상 고령자에게 발생률이 높고 합병증 위험도 큽니다. 이에 따라 일부 지자체에서는 65세 이상 어르신을 대상으로 대상포진 백신을 무료로 접종해주는 복지정책을 시행하고 있습니다.
이 글에서는 무료 대상포진 예방접종의 신청 자격, 절차, 백신 종류, 유의사항까지 상세히 정리해드립니다. 해당 지역 거주자라면 꼭 참고해주세요.
1. 대상포진이란?
- 수두 바이러스가 몸 속 신경절에 잠복해 있다가 면역력이 약해질 때 다시 활동하여 발병
- 심한 통증과 물집, 신경통이 특징이며, 65세 이상 고령자에게 특히 위험
- 치료보다 예방이 훨씬 효과적인 질환



2. 무료접종 대상자
해당 지자체에 주민등록이 되어 있는 만 65세 이상 어르신 중, 대상포진 백신 접종 이력이 없는 분
| 자격 조건 | 설명 |
|---|---|
| 연령 | 만 65세 이상 (1959.12.31 이전 출생자) |
| 주소지 | 해당 지자체에 주민등록 되어 있어야 함 |
| 접종 이력 | 과거 대상포진 예방접종 이력이 없어야 함 |
3. 2025년 무료 접종 시행 지자체 예시
- 서울 강동구, 강서구
- 경기도 고양시, 성남시, 안양시 등
- 부산 남구, 대구 북구 등
*지자체별 예산에 따라 시행 여부 다름. 반드시 관할 보건소 확인 필요




4. 신청 및 접종 절차
- 1단계: 지자체 지원 여부 확인
- 본인의 주민등록 주소지 보건소 또는 지자체 홈페이지에서 무료 대상포진 접종 시행 여부 확인
- 2단계: 보건소 방문 신청
- 신분증(주민등록증, 운전면허증 등) 지참
- 일부 지역은 온라인 또는 전화로 사전예약 가능
- 3단계: 접종일자 확정 및 예진표 작성
- 보건소 또는 지정 의료기관 방문하여 예진표 작성
- 의사 문진 후 접종 가능 여부 최종 판단
- 4단계: 대상포진 백신 접종
- 주사 부위(상완 부위) 근육에 1회 접종
- 접종 후 15~30분 대기하며 이상반응 관찰
5. 백신 종류
- 조스타박스(Zostavax): 생백신, 1회 접종
- 싱그릭스(Shingrix): 불활성화 백신, 2회 접종 (단, 대부분 유료)
*지자체 무료 지원은 일반적으로 '조스타박스 1회 접종' 기준입니다.


6. 접종 후 주의사항
- 접종 부위 통증, 부기, 발열 등이 일시적으로 나타날 수 있음
- 면역억제치료 중인 분은 생백신 접종 불가 → 의사 상담 필수
- 기저질환자나 고위험군은 사전에 접종 적합성 판단이 중요
7. 자주 묻는 질문(FAQ)
Q1. 대상포진을 앓은 적 있어도 예방접종이 필요한가요?
A. 예. 대상포진을 한 번 앓았다고 해도 재발 가능성이 있으므로 접종이 권장됩니다.
Q2. 유료로 맞은 적이 있는데, 또 무료로 맞아도 되나요?
A. 아닙니다. 대상포진 백신은 1회 접종이 원칙이며, 기존 접종자는 무료 대상에서 제외됩니다.
Q3. 접종 가능한 병원이 정해져 있나요?
A. 지자체와 협약된 지정 의료기관 또는 보건소에서만 무료 접종이 가능합니다.
★ 마무리
대상포진은 한 번 걸리면 수개월 이상 통증이 지속되는 무서운 질환입니다. 하지만 백신 접종으로 예방할 수 있으므로, 지자체에서 제공하는 65세 이상 대상포진 무료접종 기회를 놓치지 마세요!
자세한 사항은 거주지 보건소에 직접 문의하거나 홈페이지에서 확인하시는 것이 가장 정확합니다.
※ 본 글은 2025년 7월 기준으로 작성되었으며, 지자체별 정책은 예산 및 행정계획에 따라 변경될 수 있습니다.
2025년 65세 이상 독감 무료 예방접종 혜택 총정리
매년 가을이 되면 독감 예방을 위한 백신 접종이 시작됩니다. 특히 면역력이 약해지는 고령층에게는 생명을 지키는 중요한 예방 조치인데요. 보건복지부와 질병관리청은 2025년에도 만 65세 이상
forus3157.com
무지외반증 원인부터 치료까지 총정리
무지외반증(Hallux Valgus)은 엄지발가락이 바깥쪽으로 휘어지며 두 번째 발가락 쪽으로 기울고, 동시에 엄지발가락의 관절이 안쪽으로 돌출되는 질환입니다. 특히 중년 여성이나 하이힐 착용이 잦
forus3157.com
자주 틀어지는 골반, 그 원인과 교정운동 5가지로 바로잡기
골반이 자주 틀어지면서 통증을 느끼시나요?장시간 앉아있는 생활 습관, 잘못된 자세, 근육 불균형 등이 원인이 되어 많은 사람들이 골반 불균형을 겪고 있습니다. 이 글에서는 골반 틀어짐의
forus3157.com
목디스크에 좋은 스트레칭 5가지 – 통증 완화와 예방을 위한 실천 루틴
목디스크는 현대인에게 매우 흔한 질환입니다. 스마트폰이나 컴퓨터를 오랜 시간 사용하는 생활 습관은 목의 C자 커브를 망가뜨리고, 그로 인해 디스크가 눌려 통증, 어깨 결림, 두통 등 다양한
forus3157.com